Preprečevanje težav

Katere težave lahko preprečimo?

Rob dlesni oziroma žleb med dlesnimi in zobom je mesto, na katerem se mehke zobne obloge (zobni plak) hitreje nabirajo. Bakterije v mehkih zobnih oblogah, ki se lepijo na zobe in dlesen so glavni vzrok vnetja in razgradnje obzobnih tkiv. Bakterije s svojim škodljivim delovanjem povzročijo vnetje, ki najprej prizadene dlesni, pozneje pa tudi ostala obzobna tkiva. Zobne obloge oziroma povzročitelja vnetja moramo redno odstranjevati z zobno ščetko, medzobno ščetko in zobno nitko.

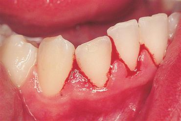
Vnetje dlesni

1. težava: vnetje dlesni

So vaše dlesni morda otekle? Imate rdeče dlesni? Zakrvavijo ob umivanju zob? Če je odgovor na katero koli vprašanje pritrdilen, potem imate vnete dlesni. Nezdravljeno vnetje dlesni lahko prizadene globlja obzobna tkiva (parodontalne bolezni).

POZOR! Če za odstranjevanje zobnih oblog oziroma za čiščenje zob uporabimo pretrdo ščetko, ne dosežemo želenih rezultatov. Ščetine običajnih ščetk so pretrde in predebele, da bi lahko brez travmatiziranja dlesni učinkovito očistile žleb med dlesnimi in zobom.

Občutljivi zobje

2. težava: občutljivi zobje zaradi odmika dlesni

Dlesni se delno umaknejo in pokaže se del zobne korenine – zobni vrat. Razgaljeni zobni vratovi so lahko posledica obolenja obzobnih tkiv (parodontalne bolezni), lahko pa tudi napačnega ščetkanja zob. Do razgaljenja lahko pride tudi zaradi kirurških posegov ali nepravilnega položaja zob v zobnem loku. Posledica je skelenje oziroma občutljivost za hladno in toplo, pa tudi za nekatere kisle in slane jedi.

POZOR! Nepravilno ščetkanje – pretrda ščetka, premočen pritisk in napačna tehnika – lahko povzroči in slabša stanje razgaljenih zobnih vratov.